写真でさらす不良主婦の日常。
×
[PR]上記の広告は3ヶ月以上新規記事投稿のないブログに表示されています。新しい記事を書く事で広告が消えます。
転任した主治医の先生に診てもらうことになりました
転任先は赤坂?青山?
とにかく大都会
駐車場はあるけれど
いくらかかるかわからない
電車で30分だったらがんばってみる
転任先は赤坂?青山?
とにかく大都会
駐車場はあるけれど
いくらかかるかわからない
電車で30分だったらがんばってみる
その前にお買い物
引越し?
廃品?
癒されました(;´Д`)
******高級ホテル******
先週ライブに来た近くだけど
地下鉄はまたよくわからない
ベーゼンドルファーだってよ
コンサートもやるらしい
通せんぼなどないけど
誰でも弾いていいような雰囲気ではない
そんな人はいない
それよりお年寄りや杖や車椅子
点滴をぶら下げた人や寝巻きの人
白衣のナースなど
病院らしい様子がまったくない
ホテルのロビーのよう
ここ本当に病院ですか?
診療科の待合室も
ホテルの廊下のよう
だって床がオールカーペットだもの
外人さんもいます
先生すごい病院なんですね!
大出世?
前と雲泥の差
ここなら入院してみたいわ
先生とは約半年振り?
いつもどおりにこやかで優しい
先生に会えてウレシイ(・∀・)!
そんな高級で上品でハイソな診察室ですが
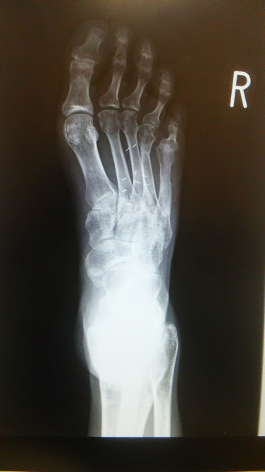
恒例の写真撮影をお願いしたら
前と同じように撮らせてもらいました
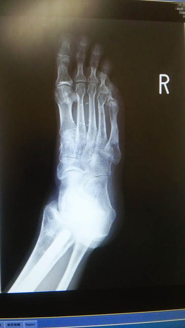
今悩みの種
甲の骨が反っているので
素足で歩くのが厳しい状態
今まで当たらなかった靴が当たる
小指と同じ現象に
小指の骨がガタガタです
何度かOPEしたせい
しばらく温存治療などしつつ経過観察
この高級病院へ通います
先生またオペしてくれないの?
ここも小指と同じに切っちゃえばいいじゃん
針金永遠に入れてさ
そうすれば曲がらないよ!
とお願いしたけれど
切ればいいってモンじゃない
先生もいろんな手を尽くしてきた
とはいっても入院でもすれば
タクシー代も今の倍
スマコの駐車代もたぶん
電車ならドアツードアで30分以上
今年の夏で丸5年
そろそろ卒業シーズンではあるのですが
今年はどう流されていくのでしょうか
PR
カレンダー
カテゴリー
リンク
◆愛坊14/12/14
◆大型2輪奮闘記
◆クララの闘病日記
◆緑の会
◆チーム川崎入部テスト
◆さとやっこの台所
◆さとやっこ替え歌
◆さとぽんの写真館Ⅱ(FC2)
◆音楽室16/01/29【NEW】________(Seesaa)
◆旧さとぽん写真館(忍者)

◆大型2輪奮闘記
◆クララの闘病日記
◆緑の会
◆チーム川崎入部テスト
◆さとやっこの台所
◆さとやっこ替え歌
◆さとぽんの写真館Ⅱ(FC2)
◆音楽室16/01/29【NEW】________(Seesaa)
◆旧さとぽん写真館(忍者)

最新コメント
[06/08 さとぽん]
[04/30 sibakari]
[04/01 さとぽん]
[04/01 こうめい]
[03/30 さとぽん]
富士登山記録
ブログ内検索
忍者アクセス解析
忍者カウンター
天気予報
そんな場所に電車で30分ってのもうらやましい。
ここのピアノで弾いてほしい。
さとさんならできるよ!
骨はくっついた形も重要なのね。
痛そうなのに、富士山やったりして、さとさんの治癒力ならば、この先もうまく付き合っていけるよ。
交通費痛いね。
原付なんてどう?
本当に写真どおりでびっくり
乗り換え1回で意外と行きやすかった
でも立ちっぱなしで疲れました(;´Д`)
こんなところでピアノが弾けたらカッコイイよね
病院のロビーにベーゼンドルファを置く・・・
さすが都内の高級病院です
筋とか筋肉とか
少し治って歩くようになってから不具合が出てくるのね
富士山もどこでも行けるけど
不具合を我慢したまま(靴擦れとか爪が黒くなるとか)
それを一生我慢するかどうかがOPEの見極め
原付怖いよぉ~